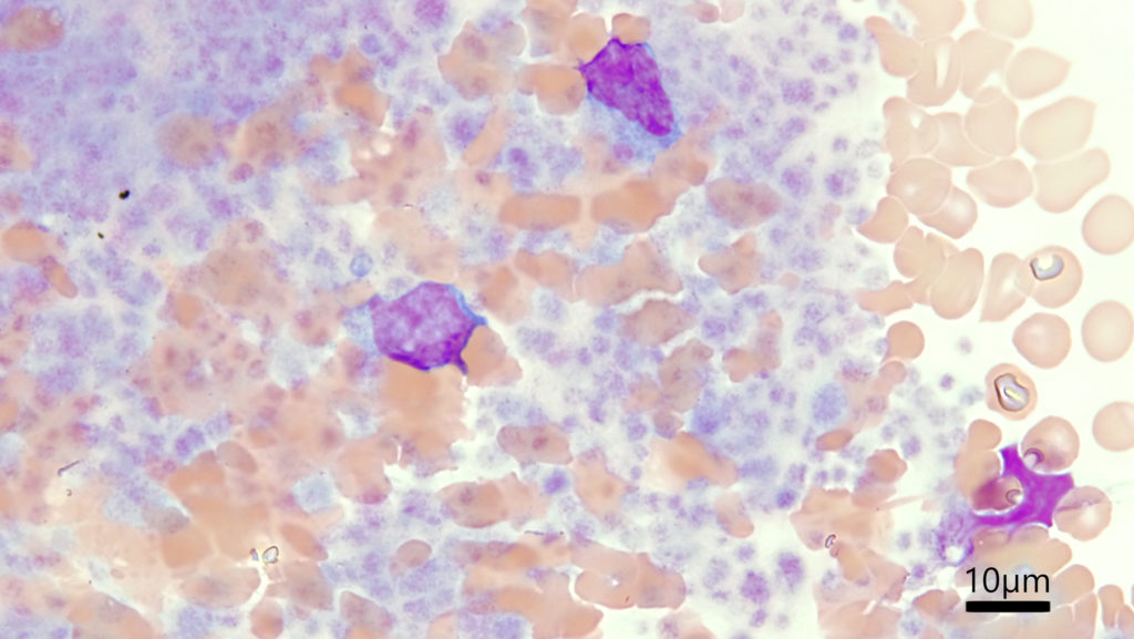
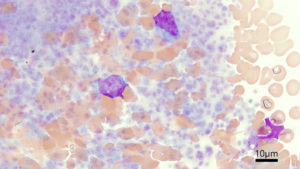
顕微鏡写真: アーティファクト 犬の血小板凝集塊
以前、犬のフィブリン塊について記事を書いた際、血小板凝集塊の話がチラッと出てきていたものの、写真を掲載できずにいたことにハタと気付きました。でも他の記事で本当に血小板凝集塊の写真を出していなかったのか、サイト内検索を色んなキーワードで行ってみましたが出てこず。よって本日は犬の血小板凝集塊の写真をアップロードしたいと思います。


血小板はこのように凝集塊を形成して、血管の破綻部位に蓋をして出血を防ぐことが主要な役割です。でも検査の上では中々その凝集能に悩まされることはありまして、小型犬種や猫など、採血に時間がかかった場合などはシリンジや採血管内で血小板同士が不可逆的な凝集を始めてしまうことがあります。そうなるとどんなに沢山採血管を転倒混和しても、自動血球計数器はもちろん、血液塗抹やクラシックな計算盤でも正しい血小板数は測定できなくなってしまいます。
逆の観点から言うと、自動血球計数器などで不可解な血小板数の低値がみられた場合、血小板凝集塊の存在が無いか、すなわち偽性の血小板減少症ではないか必ず血液塗抹を確認する必要があるということになります。大きくて忙しい動物病院の先生だと中々時間の確保が難しいところはあるのですが、こればっかりは人力でやらないといけないので何とか頑張りたいところです。
果たして血小板凝集塊の写真はこれまで掲載したことが無かったのか。存在しないことの証明、すなわち悪魔の証明ってホントに難しいと思いつつ、最終的には重複していてもまぁ良いか、図鑑の写真は多い方が嬉しいしね、という開き直りの境地で記事を書くに至っております。記事数が多くなってきたので今後もこのようなことが増えそうで困ります、、、


