顕微鏡写真: 犬の幼若リンパ球の核小体
今日紹介するのは核小体です。高校生物で習ったような覚えがなんとなくありますが、ここはAIさんのまとめから引用して・・・「核小体とは真核細胞の核内にあり、主にリボソームRNAの合成とリボソームサブユニットの組み立てを行う「工場」です。タンパク質合成に不可欠なリボソームを大量に作り出す必要があるため、細胞内での重要な生産拠点として存在しています。」とのことです。
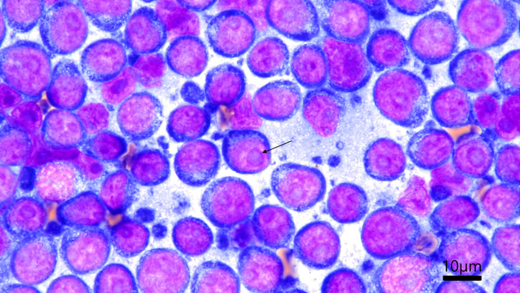
なんとなく分かったような分からないような、ぼんやりとした説明な気がしてなりませんが、核小体は通常、成熟血球にはみられない構造物です。RNA合成が盛んな細胞増殖期に顕著に現れることから、骨髄芽球や前赤芽球などの幼若な細胞の核内に見られる構造物です。さて、早速ご覧ください。

こちらの症例は悪性リンパ腫という血液腫瘍に罹患されているのですが、核小体明瞭な幼若リンパ球が単一増殖している様子がみてとれます。細胞増殖活性の高い悪性腫瘍であることから、病型分類を踏まえた上で化学療法を行う必要があります。このように、核小体の観察はリンパ腫や白血病などの血液腫瘍の鑑別において重要な判定基準となります。
注意点として、先日紹介したDiff-Quik染色では、核の染色性になんというか繊細さを欠いてブツブツと染まる印象を受けるため、核内の構造物がクロマチン凝集なのか核小体なのか分かりづらいことがあるかもしれません。やはり正確に細胞形態を見る場合、ライト・ギムザ染色やメイグリュンワルド・ギムザ染色を行うようにしましょう。
ところで、核小体は核仁、と言ったりもします。なんでなんだろうなぁと思って調べてみたら、植物の種子の中に「仁(じん、さね)」と呼ばれる部分があるそうですね。仁は子葉となるための胚と、胚の栄養分である胚乳からなるそうで、皆さんご存知の杏仁豆腐の杏仁は、杏子の仁(アンズの種の中身)だったり、梅干しの天神様とか呼ばれる部分も梅干しの種の仁だそうで。だからおそらく、そこから転じて細胞の核の中にある核小体のことを核仁、って名前をつけたりしたのかなぁと思いました。
さらに脱線しますが、儒教の思想において仁、という漢字は他者への思いやりを表し、五つの徳目「仁・義・礼・智・信」の中でも中心をなすもののようです。仁は人の心なり。真ん中にあるものを仁、と言うようなんですかね。なんだか核小体より核仁、って言う方がカッコいい気がしてきました。今後、皆さまも血液塗抹などで核小体あらため核仁をみるたび、思いやりの心を忘れず徳を積んでいくようにしましょう。


